As someone with scoliosis, we are sure you know how much it can interfere with daily tasks such as standing, sitting, walking, or even breathing. Finding relief from scoliosis can be a daunting journey with limited treatment options.
Traditionally, scoliosis treatments consist of pain management pills with terrible side effects or surgeries with grueling recovery periods. However, at Whole Body Chiropractic - Richardson in Richardson, we provide an effective scoliosis relief protocol that is absent of addictive medication and invasive procedures. Our protocol takes a holistic approach to scoliosis relief through the utilization of alternative therapies such as:
Take the necessary steps towards scoliosis relief and improving your quality of life with an appointment at our Richardson practice. Don't wait! Begin our comprehensive patient care for your scoliosis as soon as possible. Contact us at (214) 647-1072 to schedule your initial appointment and assessment.
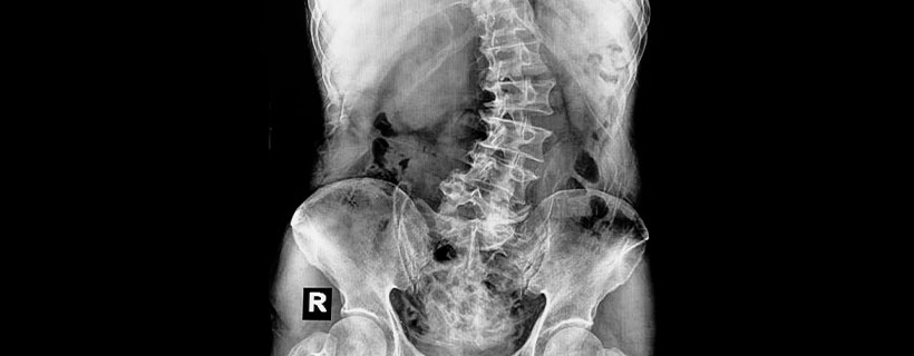
Living with scoliosis can have a tremendous impact on your life, from your emotional state to your ability to perform mundane tasks. Scoliosis is one condition that should be actively managed, or it may worsen if left untreated.
So, what exactly can happen if scoliosis goes untreated?
It's vital to address scoliosis promptly to prevent potential issues. Our chiropractor can assess your scoliosis and develop a tailored treatment plan that may include chiropractic, physical therapy modalities, and lifestyle modifications. Begin proper care for your scoliosis by scheduling an appointment today.
Dr. Izzy provides absolutely top-tier care. She is genuinely the best! Unlike many others, Dr. Izzy takes the time to thoroughly diagnose and understand each patient’s needs. She doesn’t just rush through with a quick adjustment to get you out the door; instead, she carefully assesses your specific concerns and customizes her treatment approach. Her thoughtful attention and expertise truly make a difference, leaving you feeling confident and cared for after each visit. I couldn’t recommend her enough! *
ORRichardson, Texas
Dr. Izzy and her group have gone above and beyond in helping me in providing the best care for me. Dr.Izzy speaking Spanish gave great relief to my mother in helping her understand everything that was happening with my care. She quickly discovered what was the issue with my back. Everyone has amazing bedside manner and attentive. I am very thankful for Whole Body Chiropractic definitely recommend. *
KLRichardson, Texas
I can’t find the words to express my appreciation for this group. I’m a single dad and threw out my back Sunday. I went straight there Monday morning and have been pain free ever since. They have saved me from a ruptured disc as I’ve had issues with this since I was in my early 20’s. I had my second appointment the following Tuesday and have even more movement as well as no more pain. Thank you so much for saving me what could have been a huge financial and mental setback. Much love to you. *
MPRichardson, Texas
Really impressed with Whole Body Chiropractic. I was visiting the Dallas area and needed to see a Chiropractor. Saw good reviews for this location and I'm so glad I called. Dr. Izzy got me in within an hour and a half of calling. Once I got there, it was very comfortable with a spa like feeling. She thoroughly took care of my issue and also did a full adjustment. Afterwards the massage therapy was such a nice touch! Everywhere should do this! Great experience, if I was a local, this is where I would always go! *
BRRichardson, Texas
I really liked Whole Body Chiropractic after the first visit. They were very friendly, thoughtful, caring, knowledgeable, and tailored their technique to the patient. My elderly mother has Parkinson’s disease, and they took very good care of her, helped her get up and down, and used a very gentle adjustment technique on her frail body. My mom enjoyed the doctor and the adjustment very much. *
DTRichardson, Texas* Disclaimer: Results are not guaranteed and may vary from person to person.